치매 검사는 어디서 자세히 알아보기
치매 검사는 어디서 받는지 많은 분들이 궁금해하십니다. 2026년 현재를 기준으로, 치매 검사를 받을 수 있는 곳과 치매라는 질병의 특성에 대해 상세히 안내해 드립니다. 일반적인 블로그의 정보를 넘어, 단계별 검사 체계와 치매의 진행 양상을 중심으로 정리했습니다.

1. 치매 검사는 어디서
치매 검사는 증상의 정도와 목적에 따라 크게 두 곳에서 시작할 수 있습니다.
- 보건소 치매안심센터 (가장 권장하는 시작점): 전국 각 보건소에서 운영하는 치매안심센터는 치매 조기 발견의 핵심 기관입니다. 만 60세 이상 어르신이라면 주소지와 상관없이 가까운 센터에서 **무료 인지선별검사(CIST)**를 받을 수 있습니다. 예약 없이 신분증만 지참하면 15분 내외로 간단히 인지 상태를 확인할 수 있어 문턱이 매우 낮습니다.
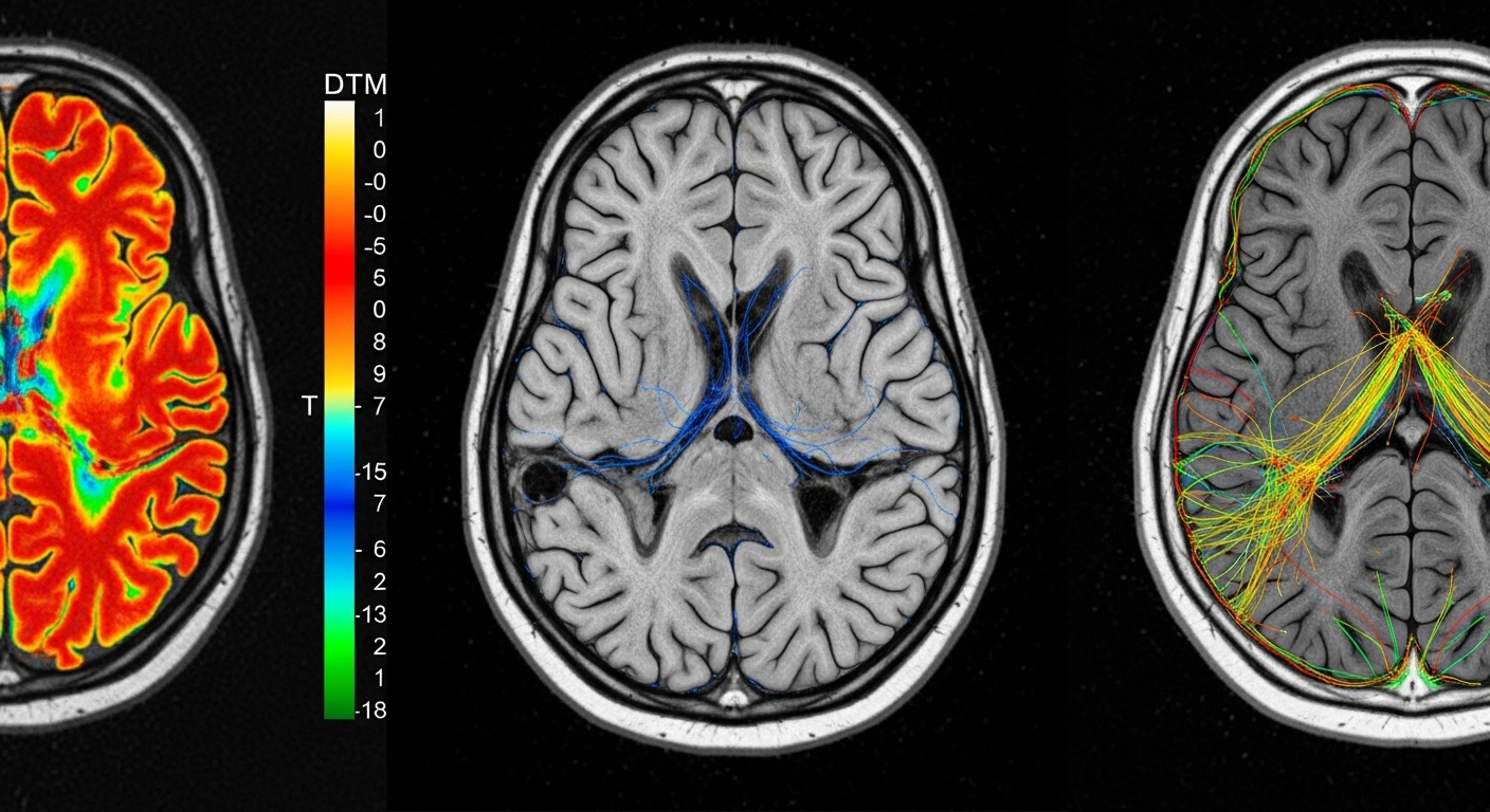
- 병의원 (정신건강의학과 또는 신경과): 인지 저하가 뚜렷하거나 정밀한 의학적 진단이 필요할 때 방문합니다. 대학병원이나 전문 병원에서는 뇌 자기공명영상(MRI), 혈액 검사, 전문 신경심리검사 등을 통해 치매의 정확한 원인(알츠하이머, 혈관성 치매 등)을 규명합니다.



2. 체계적인 3단계 검사 절차
치매 진단은 한 번의 검사로 끝나는 것이 아니라, 아래와 같이 정교한 단계를 거칩니다.
- 1단계 선별검사: 문답식 질문을 통해 인지 기능 저하 여부를 가려냅니다. 결과가 '인지 저하'로 나오면 다음 단계로 넘어갑니다.
- 2단계 진단검사: 전문 임상심리사나 간호사가 기억력, 언어능력 등을 1시간 이상 집중 평가하며, 전문의 진료를 통해 치매 여부를 1차 확정합니다. 보건소에서는 이 단계까지 대부분 무료로 지원합니다.
- 3단계 감별검사: 치매의 원인을 밝히기 위한 최종 단계입니다. 협약 병원에서 혈액 검사나 뇌 영상 촬영을 진행하며, 중위소득 기준에 따라 정부에서 검사비를 일부 혹은 전액 지원받을 수 있습니다.



3. 치매란 무엇인가
치매는 그 자체로 하나의 질병이 아니라, 뇌 세포의 손상으로 인해 인지 기능이 떨어져 일상생활을 스스로 수행하지 못하는 상태를 통칭하는 증후군입니다.
- 초기 (경증): 최근 일어난 일을 자주 잊거나 단어가 즉각 떠오르지 않는 증상이 나타납니다. 사회생활에 지장은 있으나 일상적인 가사 활동은 가능합니다.
- 중기 (중등도): 시간과 장소를 혼동하기 시작하며, 가족의 이름이 가물가물해지기도 합니다. 씻기나 옷 입기 등 일상 활동에 타인의 도움이 필요하며, 성격 변화나 배회 같은 정신행동 증상이 두드러집니다.
- 말기 (중증): 의사소통이 거의 불가능해지고 대부분의 기억을 잃습니다. 신체 기능이 저하되어 거동이 힘들어지며 모든 일상에서 전적인 돌봄이 필요한 단계입니다.



4. 조기 발견의 힘
현재의 치매 치료는 완치보다는 진행 속도를 늦추는 것에 초점이 맞춰져 있습니다. 초기에 발견하여 약물 치료와 인지 재활을 병행하면, 독립적인 생활이 가능한 기간을 수년 이상 연장할 수 있습니다.
단순히 나이가 들어서 깜빡하는 '건망증'과 치매를 구분하는 것이 중요합니다. 건망증은 힌트를 주면 금방 기억해내지만, 치매는 사건 자체를 기억에서 삭제한다는 차이가 있습니다. 조금이라도 의심된다면 "혹시?"라는 불안감을 "검사 한번 받아보자"라는 행동으로 옮기는 것이 가장 현명한 예방법입니다.



5. 가족과 본인을 위한 생활 속 예방 수칙
뇌 건강을 지키기 위해서는 진·인·사·대·천·명을 기억하세요. 진땀 나게 운동하고, 인정사정없이 담배를 끊으며, 사회적 활동을 많이 하고, 대뇌 활동(독서, 학습)을 지속하며, 천박하게 술 마시지 않고, 명을 늘리는 식단(채소, 생선)을 유지하는 것이 중요합니다.


